Accurate Sepsis Diagnosis using Integrated Host-Microbe Plasma Metagenomics Profiling
Sepsis is a life-threatening condition damaging multiple organs at a time due to the host’s aberrant immune responses against infections. The current study supported...
Synergistic Protein Modeling Using AlphaFold and Density Maps Improves Structure Prediction...
A team of researchers led by Thomas Terwilliger from the New Mexico Consortium developed a procedure where the AlphaFold structure prediction models can be...
Researchers Find Clues to Protecting Crops from Blast Disease by Gaining...
Owing to the rise of global food insecurity, several initiatives have been made to understand the disease-causing plant pathogens and crop failure. Researchers from...
Data Dimensionality Reduction Promotes Stage-specific Malaria Detection Based on Neural Networks
Owing to the increase in malaria infections and morbidities associated with it, an upgradation of diagnostics gold standard procedures can help elevate the disease...
A Novel Machine Learning Method for Classifying Macrophages Could Facilitate the...
Researchers from Trinity College Dublin have introduced a machine-learning model that classifies human macrophages based on cellular autofluorescence imaging of NAD(P)H. They have also...
Genomic Insights into the Physiology of an Iconic Unculturable Rumen Bacterium...
The iconic bacterial genus from sheep rumen ‘Quinella’ has been the center of bacterial taxonomy for various reasons. The research group from Massey University,...
Artificial Intelligence Accurately Predicts Patient’s Race from Medical Images – Can...
According to the study by Prof. Judy Gichoya of Emory University, the standard deep learning models effectively predicted the patient's race using only diagnostic...
Novel EEG Phenotyping to Identify Neurological Disease from Sleep Brainwaves
Investigators from Brigham and Women’s Hospital developed a novel approach to identify time-frequency peaks from sleep brain waves revealing heterogeneity between both healthy and...
Machine Learning Model ‘CODE-AE’ Predicts Personalized Cancer Drug Response Using Cell...
A team of computer scientists from the City University of New York has created a novel framework named the context-aware deconfounding autoencoder, which is...
SQUID: A New Generative Model for Shape-Conditioned Generation of 3D Molecules for Structure-Based...
Researchers from MIT University, Cambridge, have introduced a novel generative model, 'SQUID', to facilitate the shape-conditioned generation of chemically diverse molecules for drug design...
Single-cell RNA Sequencing and GWAS Data Integration Discover New Disease Cell...
A brand-new framework called sc-linker has been proposed by researchers from the Broad Institute of MIT and Harvard that connects human illness and phenotypes...
Attention-based Multi-view Graph Collaborative Learning Model ‘stMVC’ to Decipher Tumor Heterogeneity...
Recent advancements in SRT (Spatial Resolved Transcriptomics) technology has allowed in-depth research to measure gene activity in tissue samples and map the activity based...
Demystifying Large Protein Complex Structures Using AlphaFold and Monte Carlo Tree...
Researchers from Stockholm University, Sweden, have developed a novel bioinformatics pipeline to predict the structure of large protein molecules, such as the nuclear pore...
DrugRep: An Automated and Parameter-Free Virtual Screening Tool for Drug Repurposing
Drug repurposing has been strategically used to modulate the usage of pre-existing drugs. The virtual screening tool DrugRep facilitates computational screening using both receptor...
Insurance Claim Data and Machine Learning Aids in the Early Detection...
Researchers from Pennsylvania State University have put forth a novel machine-learning approach to help predict Autism Spectrum Disorder in children at a very young...
A Systematic Proteome-scale Contactome Map Reveals How SARS-CoV-2 Communicates with Human...
Witnessing the most wrecking pandemic in a decade, COVID-19 visibly tested the potential of healthcare advancements. A collaborative team of researchers addressed earlier loopholes...
KAGE – A Fast Alignment-free Graph-based Genotyper for SNPs and Short...
Researchers from the University of Oslo have developed a novel genotyper named KAGE for detecting SNPs, short insertions, and deletions. KAGE uses an alignment-free...
Predicting Genome-Wide Chromatin Loop using Deep Learning Model ‘DLoopCaller’
Throughout the years, dissecting gene regulation has been a major challenge for researchers. Using high-throughput sequencing, understanding chromatin landscapes and conformations has set a...
A Novel Semi-Supervised Machine Learning Model for Patch-based Breast Cancer Classification
Researchers from Tartu University have put forth a semi-supervised machine learning framework to detect invasive ductal carcinoma using a small amount of labeled breast...
Explainable AI – Deep Learning Models: Black Box to Emerging Genomics...
Deep learning extensively affects studying genetics and the breakthrough research associated with them. The study focuses on understanding the building of complex models rather...
A New Study Reveals the Landscape and Evolution of Nuclear-Mitochondrial Segments
Researchers from Cambridge University have reported the presence of nuclear-mitochondrial segments (NUMT) in a sample population of 66,083 people with 12,509 cancer samples. Whole...
HAL-X: A Novel Clustering Algorithm for Rapid Single-Cell Data Analysis for...
The novel clustering algorithm HAL-x provides insights into single-cell clustering, bridging the biomedicine sciences for healthcare purposes. With its specificity and sensitivity, it allows...
Unraveling Diseases with Data – Machine Learning Helps Identify New Nonlinear...
Researchers from the MIT-IBM Watson AI lab have developed a new machine learning-based model that recognizes ALS disease progression. The research will help design future...
Understanding the Population Dynamics for AMR Burden due to Carbapenemase-producing Enterobacteriaceae...
Scientists from A*STAR's Genome Institute of Singapore (GIS) discovered that carbapenemase-producing Enterobacteriaceae (CPE) could hide out among gut bacteria in asymptomatic humans. Long-term research...
Researchers Identified Deep Learning Tools as the Top Performers for Predicting...
New RNA transcripts have been discovered as a result of the growing amount of transcriptomic data. Bioinformatic tool developers have had difficulty separating long...
In a Benchmark Study, Scientists Investigated the Integration of Temporal Sequencing...
Recent advancements in trajectory inferences have unfolded a new side of bioinformatics, i.e., single-cell analysis. The research group from the University of Northern Carolina...
New AI Tool ‘SigProfilerExtractor’ Identifies Mutational Signature Linked To Tobacco Smoking...
A new powerful machine learning tool, 'SigProfilerExtractor' has identified a link between bladder cancer and tobacco smoking. The study was led by researchers at the...
Eliminating the Confounder Bias – A Radical Approach for Better Identification...
Researchers from Jilin University have constructed a machine learning-based model that reduces confounders' effects to identify potential driver genes involved in cancer initiation and...
iNAP: An Integrated Network Analysis Pipeline for Microbiome Studies in Complex...
Microbial network analysis is an acceptable approach to investigating microbiome and metagenomic datasets and finding insights into a complex ecosystem. Ye Deng et al....
Scientists Investigated Microbial Communities and Resistomes in Relation to Interconnected Humans, Soil,...
Antimicrobial resistance (AMR) may be reservoired in intensive livestock farms, posing a threat to surrounding communities. The gut microbiome of livestock, workers, and their...
Mathematical Modeling Bridges Chromatin Architecture with Potential in Genome Medicine
Scientists from the University of Michigan employed hypergraph theory, utilizing long sequence reads to map genome-wide multi-ways to identify chromatin architecture within the human...
Accelerating the Discovery of New Drugs with AI-based Screening Methods
The researchers from the University of Central Florida identified promising drug candidates using an AI-based tool, "AttentionSiteDTI," that uses natural language to model drug-target...
Meet “ProteinMPNN,” A Robust Deep Learning-based Protein Sequence Design Algorithm
Predicting protein structure has been revolutionized by machine learning over the past two years. A similar breakthrough in protein design has now been reported...
Microbiome Data Analysis using Differential Abundance Methods – A Benchmark Study
In order to perform an extensive benchmarking of the known tools for differential abundance analysis, the researchers from the University of Padova used a...
CheXzero: A Tool to Identify Pathologies from Unannotated Chest X-ray Images...
The new tool "CheXzero" improves clinical AI design by overcoming the major hurdle of labeling datasets for model training.
Scientists at Harvard Medical School and...
DeepFold: A Fast and Accurate Method for Ab Initio Protein Structure Prediction using...
Scientists from the University of Michigan developed an open-source program, DeepFold, to quickly construct accurate protein structure models from deep learning-based potentials.
In spite...
Vanderbilt University Researchers Suggest a New Mechanism for the Lipid Transporter
New research from Vanderbilt University suggests that a protein involved in the production of high-density lipoprotein (HDL) works differently than previously believed.
High-density lipoproteins (HDL)...
Researchers at Tufts use Artificial Intelligence to Improve Tuberculosis Treatments
A challenge to tuberculosis treatment regimen design is the need to combine three or more antibiotics. The study shows how machine learning can provide...
MIT Biologists Develop a New Computational Approach to Gain Insights into...
The computational analysis of proteins reveals that many repetitive sequences are shared across proteins and show similarities in species from bacteria to humans.
MIT biologists...
Microsoft and Novo Nordisk Collaborate to Accelerate Drug Discovery and Development...
Novo Nordisk, a leading global healthcare company headquartered in Denmark, has entered into a new strategic collaboration with Microsoft Corp. to accelerate drug discovery...
Scientists Develop an Artificial Intelligence Tool that Could Reduce the Side...
It may be possible for clinicians to use artificial intelligence to identify patients who are most prone to experiencing harmful side effects when taking...
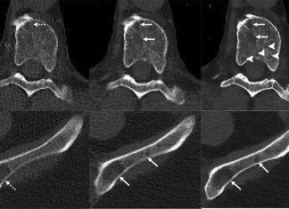
Scientists Develop an Improved Method for Detecting Myeloma Bone Disease using...
Scientists have developed a new CT technique using artificial intelligence (AI) to spot multiple myeloma-related bone diseases, using lower radiation doses than conventional CT,...
A New AI Model can Detect COVID-19 Cases by Analyzing Changes...
A deep learning model based on voice data from crowd-sourced audio samples detects COVID-19 cases by analyzing subtle vocal changes.
At an international congress of...
Researchers at Mount Sinai Determined the Crystal Structure of the SARS-CoV-2...
Researchers at Mount Sinai have solved the high-resolution crystal structure of a critical enzyme of SARS-CoV-2, leading to the development of new antivirals. This...
Cancer Omics Data Analysis Simplified with a Graphical Interface-driven Bioinformatics Pipeline...
Researchers from the Indian Institute of Technology, Madras, present iCOMIC, a tool for quickly analyzing genomic data. With iCOMIC, users can analyze whole genome...
Scientists Construct a Single-cell Level Cross-species Cell Landscape by Integrating Over 2.6...
Life is based on individual cells. Landscape dynamics across species have not been compared despite extensive efforts to characterize cellular heterogeneity. A large number...
MVsim – A Toolset for Simulating Complex Molecular Interactions Could Improve...
MVsim is a new application suite that enables the quantification, design, and mechanistic evaluation of multivalent binding interactions. It can be used to simulate...
Machine Learning Reveals How Bacterial Population Growth is Linked to the...
University of Tsukuba researchers used machine learning to discover that differentiation in decision-making factors for the lag, growth, and saturation phases of bacterial population...
Scientists Introduce an Automated Pipeline ‘Galaxy-SynBioCAD’ for Synthetic Biology Design and...
A toolshed for synthetic biology, metabolic engineering, and industrial biotechnology is available through the Galaxy-SynBioCAD portal. Using the tools and workflows available on the...
What is DNA Sequencing?
DNA sequencing is the process of determining the order of nucleotides (the building blocks of DNA) A, T, G, and C in a strand...























































